Smile Gallery
Our patients have kindly given their permission to share these photos in the hopes of showing others the beautiful smiles that are possible with today's dental care. All featured dental work was done by Dr. Scott Mahlin, who also took these photographs. None has been retouched or altered in any way.
Note: Patients depicted in photos have provided their consent to display their pictures online. Results may vary.
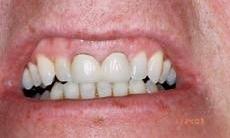
The Challenge: ‘D.’ came to us with the desire to replace a tooth he had been missing for over 30 years. He lost this tooth due to severe infection and associated fracture. ‘D’ wanted a dental restoration that would last a lifetime. He desired a replacement tooth that mimicked the natural, functional, and esthetic tooth he once had. The Solution: Utilizing IV Moderate Sedation for complete and safe patient comfort, ‘D.’ successfully had both a dental implant placement and zirconium crown procedure completed to seamlessly provide him a tooth replacement that will last a lifetime.
The dental implant was ...
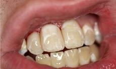
The Challenge: ‘S.’ came to us with the desire to regain his youthful smile and one that he was no longer embarrassed to show. He wanted to accomplish this while ensuring optimal tooth health and longevity. He knew addressing his teeth now would pre-emptively reduce the risk of future tooth loss and/or pain. The Solution: His beloved character always placed other’s first, but now it was his turn. Due to both dental anxiety and his desire to be completely comfortable for all his dental visits, we safely utilized in-office IV Moderate Sedation. ‘S.’ successfully had periodontal treatments, cavity elimination, ...
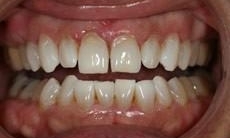
The Challenge: "K." had a congenitally missing front lateral tooth. This is a condition where a permanent tooth does not develop. The other lateral tooth was undersized, a condition referred to as a "peg-lateral". Orthodontic treatment resulted in creating optimal alignment of the teeth. "K." wanted to fill in the missing tooth and make the "skinny" tooth wider, to make her smile more "even" (symmetric). The Solution: First, we whitened "K.'s" teeth. Then I restored the missing tooth with an all-ceramic crown over a dental implant. I matched the "peg-lateral" to the implant crown by veneering that tooth. These results ...
The Challenge: "T." had developed severe wear on all of his teeth. This wear had left all of the teeth very short. This is what I call a cross-roads situation. We had reached a cross-roads in that, if we do not fix the problem now while we have some tooth structure to work with, we will not have any teeth left to work with in the future. At that point, extractions and dentures are our only recourse. The Solution: In an effort to reduce the wear and change "T.'s" bite so he did not continue to damage and wear his ...
The Challenge: "D." came to our office with all the teeth on the upper right missing. On the upper left, she had several older crowns which were failing due to decay. "D." desired a solution that did not require her to remove her teeth. She said she did not want a denture or a removable partial denture. She was adamant that she wanted a natural looking result that was "permanent". The Solution: On the upper right, dental implants were utilized to replace the natural tooth roots that were missing. "D's." implants served to support the porcelain crowns I created.
I also ...
The Challenge: "A" had developed severe wear on all of his teeth to the point where his lower front teeth were biting into the roof-of-the-mouth. This repeated trauma was stripping the gums away from the back side of the upper front teeth. "A.'s" teeth had become very sensitive to hot and cold thermal changes. Additionally, his upper front teeth were tipped inward and thinning from the underneath side due to excessive wear. The thinning had resulted in the edges of the front teeth becoming very weak and, therefore, chipping. The Solution: In an effort to reduce the wear and change ...
The Challenge: "A." was congenitally missing both upper lateral incisors. This is a condition where the permanent teeth do not develop. This results in the large, canine teeth (cuspids) shifting to the position of the missing laterals. This arrangement is not particularly attractive in that the "fangs" are too far forward and prominent. The Solution: Orthodontic treatment moved the canines into their proper position. This opened up space for dental implants to be placed. After whitening "A.'s" teeth, I restored the implants with all-ceramic crowns over implants.
These results were completed in two appointments without anesthetic. Dental implants are the ideal, ...
The Challenge: "D." lost two upper front teeth due to a traumatic injury. The patient asked, while we were restoring his smile, what could be done to straighten out his misaligned and rotated upper right canine (eye-tooth). The appearance of this tooth had bothered him for years. The Solution: Two dental implants were placed on "D.'s" upper left to serve as man-made roots for the two teeth lost to injury. In three appointments, I placed two all ceramic (metal-free) crowns on the implants and an all ceramic crown over the rotated canine. This provided "D." with the smile he said ...
The Challenge: “M.” was concerned that his teeth had darkened with age. He also was interested in improving the shape of his teeth. “M.” said he did not like the spaces between his teeth and he did not like the side (lateral) teeth. He felt they were too small. “M.” was to officiate a large wedding in one week and we needed a quick resolution to his concerns. The Solution: In a one and a half hour appointment, I bonded composite resin (tooth colored filling material) to each of the four upper front teeth to close the gaps.
In the process ...
The Challenge: "W." came to our office for a problem with an older bridge which replaced multiple teeth on his upper right. The bridge, which had served him well for many years, had come loose. Decay had left the support teeth unrestorable. Those teeth had to be removed. On the patients upper left, a single tooth had a cavity which lead to the loss of that tooth as well. When discussing the options for replacing those teeth, "W." said he desired a natural looking result that would not require him to remove an appliance. He wanted a "permanent" solution. The ...
The Challenge: “M” lost his upper left lateral tooth due to an accident. He wanted the strongest and best looking replacement tooth possible. “M” also requested that we improve his smile in the process. The Solution: First, we whitened “M.’s” teeth. Then I restored the missing tooth with an all-ceramic crown over a dental implant. I also removed decay near the gum-line on several front teeth and placed tooth colored fillings.
Dental implants are the ideal, state-of-the-art way to replace a missing tooth or multiple missing teeth. Over the 40+ years dental implants have been in use, they have proven to ...
The Challenge: "N." was self conscious about the large space between her front teeth. "N." had scheduled her high school Senior pictures to be taken in one week. She wanted a natural looking, easy, fast way to close the gap between her teeth. The Solution: In a one hour appointment, I bonded composite resin (tooth colored filling material) to each of the upper front teeth to close the gap and give "N." the beautiful smile she had always wanted.
She said now she was ready for her Senior year. These photographs are of actual patients of Dr. Robert W. Boyle and ...
The Challenge: "L" came to us with a simple request, make her smile whiter. "L's" father had placed composite bonding material on her upper six front teeth years earlier. Man-made materials, such as composite and porcelain, will not lighten with tooth whitening agents. So to whiten "L's" smile, we had to remove and replace her bonding. The Solution: I started with only two teeth on the first appointment, so that "L" could see if the color changes we could accomplish would be white enough for her.
This way, if she felt she wanted a whiter result than the composite material could ...
The Challenge: "S." was concerned with a badly discolored, chipped upper front tooth. Her request was that we make her "ugly" tooth look like her other front tooth. The Solution: In a one hour appointment, I bonded a composite resin (tooth colored filling material) to "S.'s" upper right central tooth to provide our client with an attractive solution to a problem that had concerned her for years.
These photographs are of actual patients of Dr. Robert W. Boyle and were taken by Dr. Boyle or members of the Clarkson Dental Group staff. The photos have not been retouched or altered in ...
The Challenge: "L." had never liked her smile. She was specifically unhappy with the gaps between her upper front teeth. "L." was to be married soon and she wanted a natural looking, fast, easy way to close the gaps between her teeth. The Solution: In a one and a half hour appointment, I bonded composite resin (tooth colored filling material) to each of the four upper front teeth to close the gaps and give "L." the beautiful smile she had always wanted.
When I showed "L." our result after we had finished, she began to cry. I asked if she was ...
The Challenge: "I want a nicer smile." The Solution: "I love my smile."
The Challenge: “B.” came to me with the desire to get his smile fixed. The upper teeth had multiple, older, mis-matched crowns & fillings. He actually had tried to re-cement some of the old crowns himself. As with all older restorations, the fillings had discolored, the porcelain had been repaired and some additional cavities had developed. It was time to restore “B’s” smile. The Solution: I placed all ceramic crowns (metal free) on “B’s” front six teeth, as they all had decay to one degree or another. “B.” said he was very happy with the result.
He referred his wife to ...
Patient was referred to me by her Orthodontist to help "finish" her smile. I placed all-ceramic crowns on the upper laterals and did bonding on the centrals.
The Challenge: 3 tooth bridge with chipped porcelain molar (supporting metal showing on molar tooth), poor color match to natural teeth, and poor fit at the gumline. The Solution: I replaced bridge with an All-Ceramic bridge.
The new bridge now matches the natural tooth color better and was designed to properly fit around the gumline. Proper fit aids in decreasing decay and the ease of the patient's ability to clean around a bridge.
The Challenge: Poorly matched upper crowns and tooth colored fillings. The Solution: 4 All-Ceramic crowns.
An upper partial denture and cosmetic bonding of the upper center teeth.
The Challenge: "M" had lost several teeth at an early age and never had the opportunity to replace them or to have Orthodontic treatment. Over the years, "M's" teeth had drifted and severe overlapping had resulted. "M" wanted to "straighten out" his smile. The Solution: To get an optimally attractive result, Orthodontic treatment was undertaken. In the process, a space was opened up to allow us to replace the missing tooth up front. Then a dental implant was placed in that location. We whitened "M's" teeth and I constructed an all-ceramic crown for the implant to complete our "smile make-over". ...
The Challenge: "L." came to our office with several missing front teeth due to an injury. She also had several other front teeth that had older crowns and fillings which were failing due to decay. "L." desired a natural looking result that would not require her to remove an appliance. She wanted a "permanent" solution. The Solution: Dental Implants were placed to replace the roots that were missing. "L's." implants served to support the porcelain crowns I cemented.
I also replaced the older front crowns and fillings with the more natural looking materials we have today. In this case, it only ...
Porcelain veneers can restore the proper shape, length, and color of the natural teeth. Once again, color, texture and shape all play a role in the natural, pleasing result. These photographs are of actual patients of Dr. Robert W. Boyle and were taken by Dr. Boyle or members of the Clarkson Dental Group staff. The photos have not been retouched or altered in any way.
The Challege: “J.” came to us with an enormous challenge. She had lost 3 upper front teeth due to a cyst. Cysts are known to destroy bone and in “J.’s” case, lots of bone was lost along with the teeth. This defect, therefore, required the restoration of teeth, gum and bone for a successful esthetic and functional result. The Solution: Two dental implants were placed where the remaining natural bone permitted. Upon those 2 implants I placed a bridge to replace the teeth. The boney defect was filled in with tissue (gum) colored porcelain. The importance of the porcelain under ...
The Challenge: “M.” had been in an accident long ago, injuring her two upper front teeth. Both teeth had been crowned after the accident and the crowns were successful in restoring those teeth to beauty & function for many years. Over time, the patient's left tooth developed an un-treatable problem within the root and that incisor had to be extracted. When discussing our options for replacement, “M.” preferred not to use neighboring teeth to support a false tooth (a bridge), she wanted the ability to floss normally between the teeth, and she wanted a restoration that would last a long ...
The Challenge: “W.” lost the upper right lateral incisor and the upper left first pre-molar due to gum disease. The loss of bone around these teeth had rendered them unsalvageable. “W.” preferred not to use neighboring teeth to support false teeth, she wanted the ability to floss normally between the teeth, and she wanted restorations that would last a long time. The Solution: After dental implants were placed by one of St. Louis’ most accomplished Implant Surgeons, I placed two all-ceramic crowns on the implants.
These crowns were custom shaded to give the most natural appearance possible. “W.” says she is ...
The Challenge: "W." came to our office for a problem with an older bridge which replaced multiple teeth on his upper right. The bridge, which had served him well for many years, had come loose. Decay had left the support teeth unrestorable. Those teeth had to be removed. On the patients upper left, a single tooth had a cavity which lead to the loss of that tooth as well. When discussing the options for replacing those teeth, "W." said he desired a natural looking result that would not require him to remove an appliance. He wanted a "permanent" solution. The ...
The Challenge: "J." had a congenitally missing front lateral tooth. This is a condition where a permanent tooth does not develop. The other lateral tooth was undersized, a condition referred to as a "peg-lateral". Orthodontic treatment resulted in creating optimal alignment of the teeth. "J." and his mother wanted to fill in the missing tooth and make the "skinny" tooth look more normal. The Solution: I restored the missing tooth with an all-ceramic crown over a dental implant. I matched the "peg-lateral" to the implant crown by veneering that tooth. These results were completed in two appointments. "J." said his ...
The Challenge: “C’s” concern was for the appearance of her smile. She had developed cavities in her front teeth and said she “hated to smile”. Her birthday was approaching and she wanted a quick and affordable way to look good for her party. The Solution: To remove the cavities, we numbed “C’s” front teeth, got rid of the cavities, and placed tooth colored (composite resin) fillings in her teeth. She is ecstatic with the result. Her father called me after the birthday party to thank me. He said those fillings made a remarkable difference, not only in “C’s” appearance, but ...
The Challenge: This patient came to us when his front tooth fractured off at the gum line. After rebuilding the tooth structure, we constructed a custom shaded (colored) all ceramic crown. This new all-ceramic crown has restored the proper shape, length, and color of the broken natural tooth. Once again, color, texture and shape all play a role in the natural, pleasing result. The unique characteristics of this patient’s natural teeth were duplicated within the new crown, resulting in a crown which blends nicely with the surrounding natural teeth.
It is only with the help of an exceptional dental laboratory technician ...
“A” came to us with concerns over the discoloration that had occurred with her “Maryland Bridge”. Maryland bridges are a false tooth with metal wings that attach to the backs of neighboring, support teeth. In “A’s” case, there was a distinct graying of the support teeth and the bridge had come loose. Older composite bonding that was done on another front tooth had yellowed over time. “A” wanted a more beautiful smile. I replaced the old, metal supported bridge with an all ceramic bridge.
With no metal involved, the ugly, dark gray color is eliminated. The old composite bonding was replaced ...
“C.” came to us concerned with the appearance of her front teeth. She did not like the stained appearance of her large, older composite fillings. In addition, “C.” wanted to lighten the color of her teeth. This result was achieved by whitening the natural teeth and veneering the upper two front teeth.
These new porcelain veneers have restored the proper shape, length, and color of the natural teeth. Once again, color, texture and shape all play a role in the natural, pleasing result.
"K." was unhappy with her two front teeth. She had older composite bonding material that had discolored and chipped over time. She asked if we could provide a more esthetic, longer lasting and stronger result. She also wanted whiter teeth.
After whitening, we achieved "K.'s" goal by veneering the upper two center teeth. This is another good example of how color, texture and shape all play a role in the natural, pleasing result.
The Challenge: "M." lost his upper left central incisor due to failed root canal treatment. The existing spaces between the front teeth presented a particularly difficult challenge, cosmetically, if we were to consider bridges. In essence, we would have had to crown many teeth, which would not otherwise need crowns, to achieve an attractive result. When discussing replacement options, "M."preferred not to use neighboring teeth to support a false tooth.
He also preferred the ability to floss normally between his teeth, and he wanted a restoration that would last a long time. The Solution: After a dental implant was placed by ...
The Challenge: “J.” had composite bonding done on her upper front teeth 20 years prior. Composite is a wonderful material but over time it will stain. “J.” was concerned with the dark yellow appearance of her front teeth and wanted to make them look beautiful again. The Solution: I did a cosmetic proposal “wax-up” for “J.”
This provides a preview of what the final restorations will look like in terms of length, width, and general shape. “J.” liked the look of my proposal, so we proceeded to construct six all ceramic crowns for the upper front teeth. This was done in ...
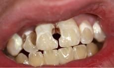
The Challenge: Due to an accident, "D." came to us with several badly fractured front teeth. He asked if we could put him back together as good as before the accident. The Solution: I placed two all ceramic crowns on the broken upper front teeth.
On the fractured lower front tooth we placed a veneer. "D." says he is back together and everything not only looks great, it feels great as well. These restorations will last a very long time, barring another accident.
The Challenge: Circumstances had rendered "S.’s" teeth in a severe state of disrepair. Decay and wear had taken their toll. When we first met, “S.” told me he was embarrassed and wanted to get his smile back. I told “S.” no one should be embarrassed. By seeking out dental help, he had taken the first step to becoming unembarrassed. My message to anyone reading this: Please do not be embarrassed. We can help. The Solution: I set about restoring “S.’s” teeth by fixing the back ones first.
“S.” was very patient with me because he understood the importance of establishing a ...
The Challenge: "M." came to our office because of a problem with an older bridge which replaced a missing tooth on his upper left. The bridge, which had served him well for many years, had come loose. Decay had left the support teeth unrestorable. Those teeth had to be removed. When discussing the options for replacing those teeth, "M." said he knew he would do dental implants. “M.” has 6 previous dental implants I have restored for him over the years and he loves the fact they are so strong. “M.” says you completely forget they are there. The Solution: ...
The Challenge: "D." was concerned about an upper front tooth which had become very discolored and loose due to a traumatic injury which had happened long ago. The trauma left this tooth hopelessly damaged and in need of extraction. "D." also had developed a gap between his front teeth that he disliked. "D." wanted a result that did not require the removal of a dental appliance. He wanted a "permanent" result. The Solution: After the extraction of the un-restorable dark tooth, I placed a transitional (temporary) bridge over "D.'s" teeth.
The transitional bridge is used to allow the gum tissue to ...
The Challenge: "T." was unhappy with his smile. He had twice tried Orthodontic treatment to straighten the crowding in his upper front teeth. Both times the Orthodontics had yielded unsuccessful results. We discussed the possibility of attempting Orthodontics again, but "T." wanted a quicker and, because of his past history, a more predictable result.
The Solution: After showing "T." a 3-dimensional "mock-up" (a proposal which serves as a "blueprint") for our final result, the decision was made to proceed with a smile make-over using veneers. It took two appointments to complete this transformation. "T." says he is a new man since ...
The Challenge: Due to an accident, "D." came to us with several badly fractured front teeth. He asked if we could put him back together as good as before the accident. The Solution: I placed two all ceramic crowns on the broken upper front teeth. On the fractured lower front tooth we placed a veneer.
"D." says he is back together and everything not only looks great, it feels great as well. These restorations will last a very long time, barring another accident.
"Probably the nicest group of people in any office I've ever visited. Everyone is polite, professional and just plain friendly. My hygienist and the dentist sit and chat before "jumping in" to do their work. I switched here for the convenient location (and positive reviews that I read) and I am happy with my decision.
I am self pay and their rates are slightly higher than my last dental group but not enough for me to switch back. I also have not been pressured for extra, unnecessary services like my last dental group used to do."
- Mary Chiodini