Accessible Version
Clarkson Dental Group
1748 Clarkson Rd, Chesterfield, MO 63017

Multiple Teeth Replacement

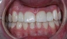
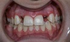
The Challenge: "A." was congenitally missing both upper lateral incisors. This is a condition where the permanent teeth do not develop. This results in the large, canine teeth (cuspids) shifting to the position of the missing laterals. This arrangement is not particularly attractive in that the "fangs" are too far forward and prominent. The Solution: Orthodontic treatment moved the canines into their proper position. This opened up space for dental implants to be placed. After whitening "A.'s" teeth, I restored the implants with all-ceramic crowns over implants.

These results were completed in two appointments without anesthetic. Dental implants are the ideal, state-of-the-art way to replace a missing tooth or multiple missing teeth. Over the 40+ years dental implants have been in use, they have proven to be extremely reliable and long lasting. Implants are free-standing & do not depend on neighboring natural teeth for support. Implant restorations CANNOT get decay.

Getting an appointment is fast and easy!
If you have difficulty using our website, please email us or call us at (636) 537-0065
View the ADA Accessibility Statement