Accessible Version
Clarkson Dental Group
1748 Clarkson Rd, Chesterfield, MO 63017

Crowns (Caps)

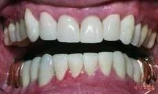
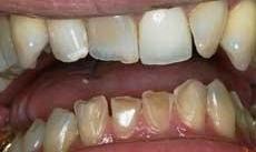
The Challenge: "A" had developed severe wear on all of his teeth to the point where his lower front teeth were biting into the roof-of-the-mouth. This repeated trauma was stripping the gums away from the back side of the upper front teeth. "A.'s" teeth had become very sensitive to hot and cold thermal changes. Additionally, his upper front teeth were tipped inward and thinning from the underneath side due to excessive wear. The thinning had resulted in the edges of the front teeth becoming very weak and, therefore, chipping. The Solution: In an effort to reduce the wear and change "A.'s" bite so he did not continue to damage his teeth and gums, I crowned every one of his lower teeth.

This process was done in stages over a one year period of time. After the lower teeth were completely restored, I placed all ceramic crowns on the upper front teeth to correct the severe wear and bring them forward to even out his smile. "A." says his new smile has changed his life.

Related Services:

Crowns and Bridges
Not finding what you need?
If you have difficulty using our website, please email us or call us at (636) 537-0065
View the ADA Accessibility Statement