Accessible Version
Clarkson Dental Group
1748 Clarkson Rd, Chesterfield, MO 63017

Periodontal Treatment and Crowns

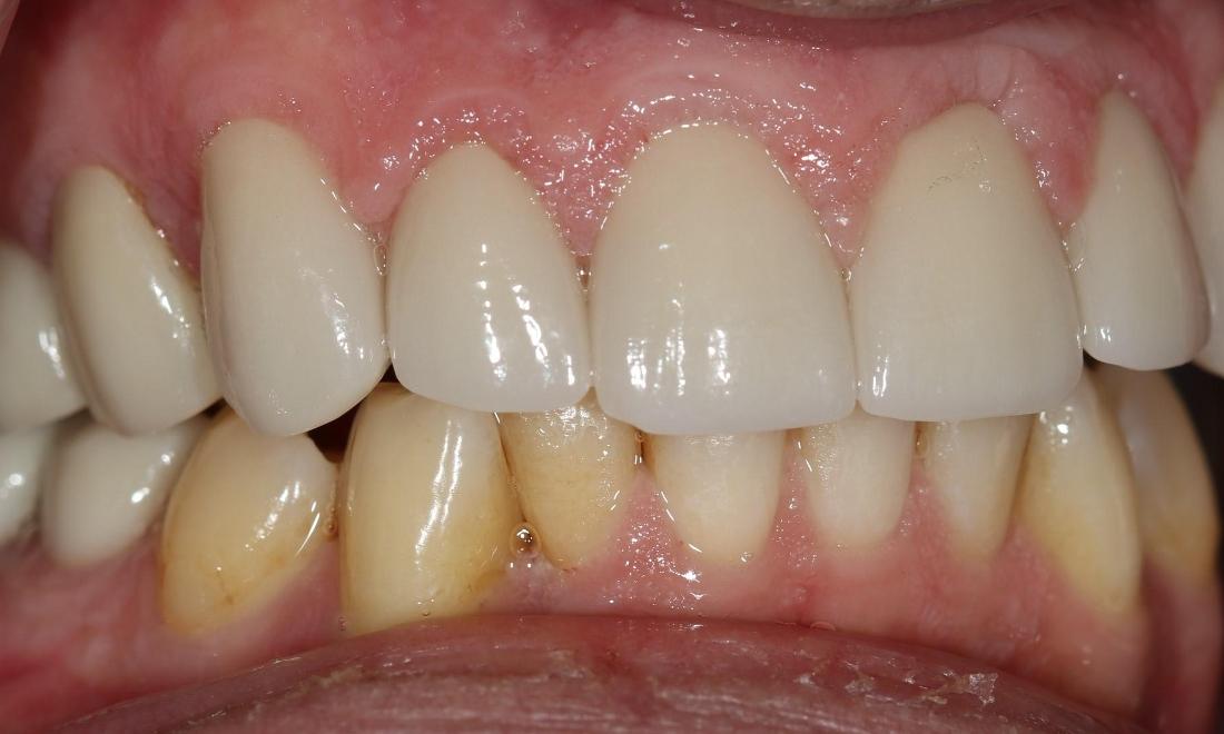
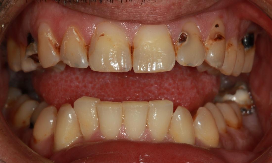
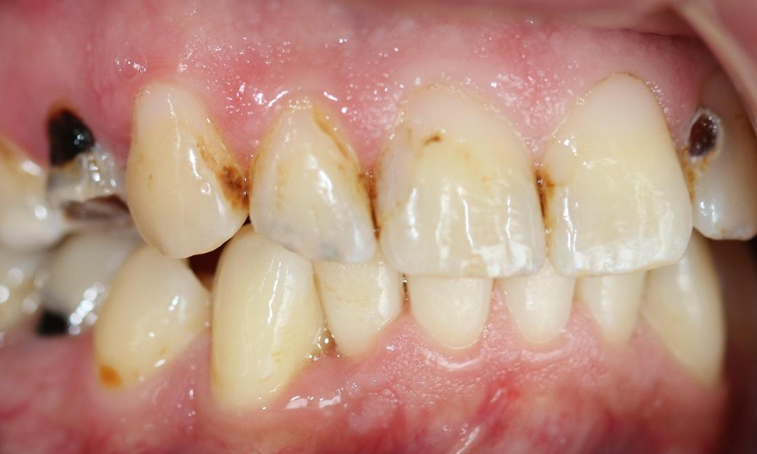
The Challenge: ‘S.’ came to us with the desire to regain his youthful smile and one that he was no longer embarrassed to show.  He wanted to accomplish this while ensuring optimal tooth health and longevity. He knew addressing his teeth now would pre-emptively reduce the risk of future tooth loss and/or pain.  The Solution: His beloved character always placed other’s first, but now it was his turn. Due to both dental anxiety and his desire to be completely comfortable for all his dental visits, we safely utilized in-office IV Moderate Sedation.  ‘S.’ successfully had periodontal treatments, cavity elimination, and cosmetic eMax crowns custom fabricated. These procedures provided a healthy smile that will last a lifetime. ‘S.’ deserved to have the smile that reflects his healthy, sincere, and youthful charisma.   

The need for periodontal treatments (deep cleaning or scaling and root planning-SRP) is important to eliminate and control the harmful bacteria that may accumulate over time in areas beyond the reach of a toothbrush or floss.  The bacteria encompassing the teeth, also known as dental plaque or tarter, causes the body to create an inflammatory response to this irritant. This can initially be seen as bleeding/inflamed gum tissue known as Gingivitis. If left untreated, Gingivitis can lead to more invasive Periodontitis and the loss of bone supporting the teeth.  Once bone is lost due to the Periodontitis disease process, it cannot be replaced. The periodontal treatments provided by our office allow for us to cease and control the permanent loss of bone surrounding our teeth.

The eMax crown is the most translucent in color and most closely mimics the natural teeth.  Since eMax crowns all ceramic, they do not have the ugly metal band seen around the gum line of older crowns.  In addition, since there is no metal in an eMax crown, there is no risk of a metal allergy. More importantly, the eMax crown is an incredibly strong and durable material that will ensure years of reliable use.  

 
Have Questions? Get in Touch
If you have difficulty using our website, please email us or call us at (636) 537-0065
View the ADA Accessibility Statement