Accessible Version
Clarkson Dental Group
1748 Clarkson Rd, Chesterfield, MO 63017
Clarkson Dental Group
1748 Clarkson Rd, Chesterfield, MO 63017
Book Online
Like us on Facebook
Follow us on Twitter
Watch our Youtube Videos
Connect with us on LinkedIn
Leave a Google Review
Instagram
Give Us a Call to Schedule
(636) 537-0065
Cosmetic and Implant Dentistry
Home
About
Our Team
Dr. Scott Mahlin
Technology
Office Pictures
Services
View All
Teeth Cleanings & Dental Exams (Preventive Dentistry)
Dental Implants
Invisalign® Clear Braces
Cosmetic Dentistry
Sedation Dentistry
Teeth Whitening
Crowns and Bridges
General Dentistry
Periodontal Treatment
Tooth-Colored Fillings
Veneers
TMJ Treatment
Night Guards in Chesterfield, MO
Root Canals
Dental Emergencies
Smile Gallery
Testimonials
Patient Info
View Patient Info
Forms
Financial
Specials
FAQs
Blog
Membership Club
Contact
Clarkson Dental Group
>
Smile Gallery
>
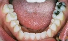
Composite Fillings
Composite Fillings
Return to Smile Gallery
Previous
Next
Related Services:
Cosmetic Dentistry
Click image to see a larger picture
Before
After
Improve your smile today – call to schedule a consultation!
Call Today!
If you have difficulty using our website, please
email us
or call us at
(636) 537-0065
View the
ADA Accessibility Statement
Turn on ADA Views
OK!
×
×
Contact Us Today
Give Us A Call
Clarkson Dental Group -
(636) 537-0065
Send Us an Email
Book Online
Contact
Ready to Schedule an Appointment?
Book Online
Have Questions? Contact Us:
Required Field
Your Name:
Phone:
Email:
Are you a new patient?:
Are you a?
New Patient
Current Patient
How would you like us to contact you?
Please choose
Email
Call
How did you hear about us?
Please choose
I'm an existing patient
Google
Mailer
Word of mouth
Social media
Other
Who Referred You?:
Appointment Type?
Please choose
New Patient Cleaning/Exam
Existing Patient Continuing Care
Other
Appointment Preferences
Monday
Tuesday
Wednesday
Thursday
Your Message:
This site is protected by reCAPTCHA and the Google
Privacy Policy
and
Terms of Service
apply.
Sending...
×
This Patient's Experience
Loading Testimonial...
Loading Case...